Check out our various resources and knowledge gathered through years of experience
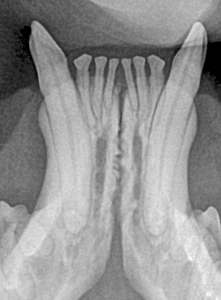
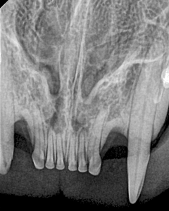
Feline Full Mouth Radiograph example
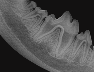
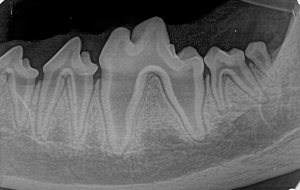
Canine Full Mouth Radiograph Example